Predicting Cognitive Decline in Alzheimer’s

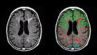
Two brain scan images shown side by side.

Amyloid plaque deposits have been long considered the pathological hallmark of Alzheimer’s disease. Recent research at Columbia, however, has shed light on another important risk marker for Alzheimer’s—"white matter hyperintensities" (WMH).

White matter is a complex wiring system that connects nerve cells in different regions of the brain with one another and affects how the brain learns and functions. WMH are patches of increased signal that show up in magnetic resonance imaging (MRI) scans of the brain.

Columbia University Medical Center’s Adam M. Brickman, PhD, assistant professor of neuropsychology, and colleagues found that elevated WMH levels in people at risk of Alzheimer’s predict their rate of cognitive decline.

In the study, Dr. Brickman’s team examined data from the Alzheimer’s Disease Neuroimaging Initiative. The study included 332 participants who were at very high risk of developing Alzheimer’s disease by virtue of having been diagnosed with mild cognitive impairment.

The researchers found that, over a four-year period, cognitive functioning declined more rapidly among individuals with high levels of WMH. They also found that the effect of WMH was compounded by the degree of atrophy of the entorhinal cortex, an area of the brain involved in memory and affected relatively early in Alzheimer’s disease.

Those with low levels of both  entorhinal cortex atrophy and WMH had a particularly low likelihood of cognitive decline.

The findings suggest avenues for prevention or treatment of individuals with mild cognitive impairment, as many of the risk factors for WMH have been established and can be changed through lifestyle or pharmacologic intervention.

Read the journal article at JAMA Neurology.

Back to top