Natural Nanoparticles May Keep Fat Healthy

Nanoparticles released by fat cells may keep fat tissue healthy. Colorized image of nanoparticles from Anthony Ferrante / Columbia University Vagelos College of Physicians and Surgeons.
VP&S scientists have discovered that fat cells emit nanoparticles loaded with lipids that may help keep fat tissue healthy and play a role in preventing diabetes.
The new study, conducted in mice, is part of a new wave of research showing that such nanoparticles–originally believed to be cellular waste–play important roles in normal physiology. The findings were published Feb. 28 online in the journal Science.
A Brief History of Exosomes
The nanoparticles found by the lab of Anthony Ferrante Jr., MD, PhD, belong to a class of tiny spheres of cellular material–called exosomes–that are emitted by most cells. Exosomes are roughly 100 times smaller than red blood cells and were not discovered until the late 1980s.
Nanoscale exosomes were originally thought to be miniscule trash bags, carrying discarded waste out of the cells. Only in the last decade have researchers realized that exosomes act more like delivery bags, shipping cargo and instructions to other cells and tissues.
Most exosome research focuses on the particles’ roles in disease, especially cancer.
Exosomes Recycle Fat

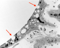
An electron micrograph showing the edge of a fat cell preparing two exosomes filled with lipid. Image from Anthony Ferrante / Columbia University Vagelos College of Physicians and Surgeons.
In the current study, the researchers discovered that fat cells in mice release exosomes that appear to keep fat tissue healthy by recycling fat.
The exosomes are filled with triglycerides and are ingested by immune cells, called macrophages, that also live in fat tissue. “About 15 years ago we first discovered these cells in fat, and for a long time we’ve been trying to figure out what they’re doing,” Ferrante says.
Macrophages break down the triglycerides into fatty acids, the researchers found, and then ship the fatty acids out of the cell. Ferrante hypothesizes that the fatty acids can then be taken up by fat cells in a cycle that resupplies fat cells with fresh lipid.
“There’s a similar mechanism in bone, where osteoclasts—another type of macrophage—break down bone into calcium and phosphate, which are used to make fresh bone,” he says. “This cycle is critical for bone health, and we now wonder whether a similar cycle occurs in fat to maintain its health.”
The exosomes released by fat cells are produced at an astonishing rate. "The entire lipid content in a fat cell may turn over in 50 to 100 days," Ferrante says, "changing our view of fat as a long-term storage depot."
Fat Exosomes Control Other Cells
The exosomes released by fat cells also exert control over local macrophages, Ferrante’s team found, by instructing new macrophages to ingest and recycle fat. Because new macrophages come from the bone marrow and can settle in different parts of the body, the cells must be educated to take on tissue-specific roles. How this education occurs has been unclear, and Ferrante’s discovery suggests exosomes may play a role in educating macrophages in other tissues besides fat.
The fat exosomes were also found in the bloodstream, raising the possibility that they may exert control over cells and organs in other parts of the body. (Other particles released by fat cells into the bloodstream are already known to increase inflammation and insulin resistance.)
“Our next step is to investigate whether the new nanoparticles we’ve found in mice also appear in humans and, if so, whether they contribute to lipids we measure in the circulation and to metabolic diseases,” Ferrante says.
References
Anthony Ferrante, MD, PhD, is the Tilden-Weger-Bieler Professor of Preventive Medicine at Columbia University Vagelos College of Physicians and Surgeons.
The paper is titled “A lipase-independent pathway of lipid release and immune modulation by adipocytes.” The other contributors are Stephen E. Flaherty (CUIMC), Ambar Grijalva (CUIMC), Xiaoyuan Xu (CUIMC), Eleanore Ables (CUIMC), and Alireza Nomani (Rutgers University, Piscataway, NJ).
The study was funded by grants from the National Institutes of Health (R01DK066525, P30DK026687, P30DK063608, and T32DK007328) and the Russell Berrie Foundation.
The authors declare no financial or other conflicts of interest.