Esophageal Cancers Resurrect Ancient Retroviruses Hidden in Our Genome
Scientists have discovered that many esophageal cancers turn on ancient viral DNA that was embedded in our genome hundreds of millions of years ago.
“It was surprising,” says Adam Bass, MD, the Herbert and Florence Irving Professor of Medicine at Columbia University Vagelos College of Physicians and Surgeons and Herbert Irving Comprehensive Cancer Center, who led the study published May 10 in Nature Genetics.

Esophageal cancers resurrect bits of ancient retroviruses, called endogenous retroviral elements (ERVs), embedded in our genome. Green dots mark expression of ERVs. Red dots mark a protein called ADAR1 that the cancer uses to degrade the ERVs. Image from Adam Bass.
“We weren’t specifically searching for the viral elements, but the finding opens up a huge new array of potential cancer targets that I think will be extremely exciting as ways to enhance immunotherapy.”
Fossil viruses and cancer
The idea that bits of ancient retroviruses within the human genome—known as endogenous retroviral elements, or ERVs—play a role in cancer is not new. Though ERV sequences have degraded over time and cannot produce viral particles, the viral fossils are sometimes inserted into other genes, which disrupts their normal activities, or act as switches that turn on cancer-causing genes.
More recently, however, research suggests ERVs may also fight cancer if they are transcribed into strands of RNA.
“When cells activate lots of ERVs, a lot of double-stranded RNA is made and gets into the cell cytoplasm,” Bass says. “That creates a state that’s like a viral infection and can cause an inflammatory response. In that way, ERVs may make the cancer more susceptible to immunotherapy, and many researchers are working on ways to trick cancer cells into activating ERVs.”
Esophageal cancers turn on ERVs
In the new study, Bass and his colleagues created esophageal organoids from mouse tissue to follow the development of cancer from normal cells to malignancy.
Using these organoids, Bass found that a specific cancer-promoting gene in esophageal cancers called SOX2 leads to induction of expression of many ERVs.
As the expression of ERVs and the accumulation of double-stranded RNAs that can result from ERV expression can be toxic to cells, the researchers found that there is a specific enzyme called ADAR1 that quickly degrades these double-stranded RNAs.
ADAR1 has been implicated in esophageal cancer by other researchers, although its role had been unclear. Levels of ADAR1 are known to correlate with poor survival. “The cancers are dependent on ADAR1 to prevent an immune reaction that can be very toxic to the cells,” Bass says.
Some patients with esophageal cancer are currently treated with immunotherapy, which has been shown to increase survival by several months. “We have a lot of enthusiasm that blocking ADAR1 may both have direct efficacy for esophageal cancers and that ADAR1 inhibition may have even great effects by enhancing the efficacy of cancer immunotherapy in patients with esophageal cancer,” Bass says.
Organoids reveal other potential targets in SOX2 cancers
Beyond the results regarding ADAR1 and ERVs, the process of modeling the development of esophageal cancer via genomic engineering of organoids also revealed many other processes in esophageal cancer that could lead to new treatments.

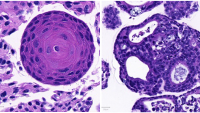
Normal and malignant esophageal organoids. Images from Adam Bass.
“The way we used organoids to build cancers up from the normal cell is a powerful system for uncovering cancer-causing activities and testing therapeutic targets,” Bass says. “By making individual genome alterations in these models one at a time, we can see which combinations of genetic alterations lead to cancer and then determine specific mechanisms of tumor formation.”
The organoids in the current study started with overexpression of the SOX2 gene, a commonly amplified factor that promotes the development of squamous cancers.
In the study, the Bass team built a panel of organoids modeling the spectrum from normal esophagus to fully transformed cancer.
By being able to evaluate the differential features of normal and cancerous organoids, the team could dissect how the activity of SOX2 differs in normal and cancerous tissues. “It’s important to understand the difference, since potential treatments need to target the cancer functions but have lesser impact upon normal tissue,” he says. “It's relatively easy to kill cancer cells. The problem is, how do you kill cancer cells but spare other cells?”
The organoids revealed that when SOX2 is overactive—and two tumor suppressors are inactivated—SOX2 works with other factors to turn on an assortment of cancer-causing genes in addition to their effects upon induction of ERVs.
“These findings reveal new vulnerabilities in SOX2 esophageal cancers,” Bass says, “that will now allow us to begin developing therapies that can precisely target the cancer cell and improve the treatment of patients.”
References
More information
Adam Bass also is the founding director of the Center for Precision Cancer Medicine at Columbia University, director of gastrointestinal oncology, and professor of medicine in the Division of Hematology and Oncology at Columbia University Vagelos College of Physicians and Surgeons.
The paper is titled “SOX2 Reprograms the Esophageal Squamous Carcinoma Epigenome and Induces Endogenous Retroviral Elements and dsRNA, Thereby Promoting ADAR1 Dependence.”
Other Columbia authors: Hiroshi Nakagawa and Anil K. Rustgi.
The study was performed primarily at Dana-Farber Cancer Institute and Harvard Medical School before Bass moved to Columbia. See paper for full list of authors.
The research was supported by the Twomey Family Fellowship in Esophageal Cancer Research, the U.S. National Institutes of Health (grants R01 CA196932, R01 CA187119, P01 CA098101, and R00 CA215244).
Adam Bass receives research funding from Bayer, Merck, and Novartis; is a consultant to Earli and HelixNano; and a co-founder of Signet Therapeutics. See paper for declaration of interests from authors affiliated with other institutions.