Delayed Access to Tertiary Care Associated with Higher Death Rate from Type of Pulmonary Fibrosis
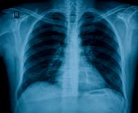
Idiopathic pulmonary fibrosis (IPF) -- scarring and thickening of the lungs from unknown causes -- is the predominant condition leading to lung transplantation nationwide. Columbia University Medical Center researchers confirmed that delayed access to a tertiary care center for IPF is associated with a higher risk of death. The findings were published online in the American Journal of Respiratory and Critical Care Medicine on June 30, 2011.
A group led by Columbia researcher David J. Lederer followed 129 IPF patients at an academic medical center. They looked at the length of time from the onset of shortness of breath to the first visit to the center. A longer delay was associated with increased risk of death, independent of age, gender, socioeconomic status, lung capacity, disease severity, type of health insurance, or education. The researchers also found no association between the length of delay and the likelihood of the patient’s receiving a lung transplant. IPF leads to respiratory failure and death, usually within three years. It is a relatively rare disease, which afflicts 100,000–120,000 Americans, almost all over the age of 50. Characterized by shortness of breath upon exertion, it is often misdiagnosed, especially in people with other ailments. A delay in making a correct diagnosis can lead to ineffective, or even harmful, treatments. For example, doctors sometimes still treat IPF with steroids, because the disease was originally thought to have an inflammatory component. Now scientists know that steroids are counterproductive. A delay in diagnosis can also delay evaluation for a lung transplant. Although research is underway on potential drug therapies, currently lung transplantation is the only effective treatment. “The initial symptoms of IPF are subtle, and accurate diagnosis may not be feasible for community-based pulmonologists,” explains Lederer, Herbert Irving Assistant Professor of Clinical Medicine and co-director of the New York-Presbyterian Hospital Interstitial Lung Disease Program and Lung Transplant Program. For that reason, earlier access would be aided by improved methods of early detection. But until then, the recognition, or even suspicion, of IPF should prompt referral to a tertiary care center. The study’s authors are Daniela J Lamas (CUMC), Steven M. Kawut (University of Pennsylvania), Emilia Bagiella (CUMC), Nisha Philip (CUMC), Selim M. Arcasoy (CUMC), and David J. Lederer (CUMC). The study was supported by the NIH, the Robert Wood Johnson Foundation, and Herbert and Florence Irving. DL serves as an advisor to Gilead Sciences, Inc. The other authors declare no financial or other conflict of interest.
#### Columbia University Medical Center provides international leadership in basic, pre-clinical, and clinical research; in medical and health sciences education; and in patient care. The medical center trains future leaders and includes the dedicated work of many physicians, scientists, public health professionals, dentists, and nurses at the College of Physicians and Surgeons, the Mailman School of Public Health, the College of Dental Medicine, the School of Nursing, the biomedical departments of the Graduate School of Arts and Sciences, and allied research centers and institutions. Established in 1767, Columbia's College of Physicians and Surgeons was the first institution in the country to grant the M.D. degree and is among the most selective medical schools in the country. Columbia University Medical Center is home to the largest medical research enterprise in New York City and State and one of the largest in the United States. For more information, please visit www.cumc.columbia.edu.
